-따라서 진단이나 치료가 필요한 수준임에도 불구하고 위험신호 놓치는 경우 있어
-정신건강의학과 김기웅 교수 연구팀은 백질고강도신호 확률지도를 개발, 연령대에서 발생할 수 있는 평균수준을 넘어서는지 판별하는데 도움
-연령과 성별 대비 일정 범위 이상의 신호가 관찰될 경우 혈관성 위험인자 관리와 인지기능 저하 예방 필요
분당서울대병원 정신건강의학과 김기웅 교수 연구팀이 한국인의 연령별 대뇌 백질고강도신호 확률지도를 개발하는데 성공했다. 뇌혈관질환, 혈관성 치매를 일으키는 백질고강도신호가 단순 노화로 생길 수 있는 수준인지, 인지기능에 영향을 미치는 병적인 수준인지 구분해주는 정량적 기준으로 활용될 전망이다.
한국인을 비롯해 동양인들은 뇌혈관질환과 혈관성 치매를 앓게 될 확률이 서양인에 비해 높다고 알려져 있다. 뇌 MRI 검사로 파악할 수 있는 ‘백질고강도신호’가 이러한 뇌혈관질환을 일으키는 원인 중 하나인데, 고령자에게 비교적 흔하게 발견되기 때문에 진단이나 치료가 필요한 수준임에도 불구하고 위험신호를 놓칠 수 있다.
![]() |
| ▲분당서울대병원 정신건강의학과 김기웅 교수 |
그간 대뇌백질고강도신호에 대한 연구는 주로 서양인에 집중됐는데, 동양인은 서양인과 뇌의 모양과 뇌혈관질환의 위험도가 달라 기존 연구를 적용시키기 어려운 한계가 있었다. 이에 연구팀은 건강한 한국노인들의 데이터를 이용한 지도를 만들어 백질고강도신호를 연구하는 표준 아틀라스로 활용하고자 했다.
김기웅 교수 연구팀이 이번 연구를 통해 동양 최초로 개발 및 검증한 백질고강도신호 확률지도는 한국인의 인지노화와 치매에 대한 전향적 연구 (Korean Longitudinal Study on Cognitive Aging and Dementia: KLOSCAD) 및 광주 치매코호트연구단(Gwangju Alzheimer’s & Related Dementias: GARD)에 참여한 심뇌혈관 질환이 없고, 인지능력이 정상인(cognitively normal) 60세 이상 노인 300명의 뇌 MRI를 토대로 만들어졌다.
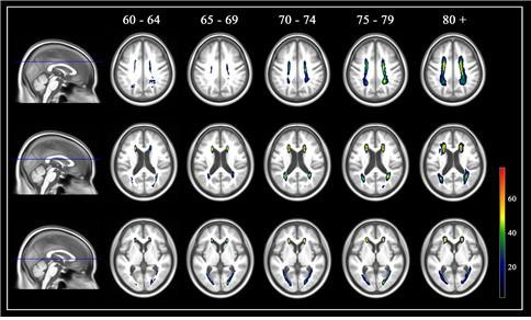
이 확률지도를 이용하면 대뇌 백질고강도신호가 60~64세, 65~69세, 70~74세, 75~79세, 80세 이상의 다섯 개 연령군 중 어디에 해당하는지를 판정할 수 있다. 이렇게 결정된 백질고강도신호 연령은 자신의 실제 나이와 동일할 수도 있고, 실제 나이보다 적거나 많을 수도 있다.
대표적으로 백질고강도신호가 실제 나이와 동일한 케이스, 실제 나이보다 적은 케이스, 실제 나이보다 많은 케이스 총 3명을 선정해 백질고강도 신호를 백질고강도신호 확률지도에 겹쳐 표기했을 때, 백질고강도신호 연령이 실제 나이보다 많은 사람에게서는 확률지도 범위를 넘어서는 신호가 관찰됐다.
세 사람 모두 MRI 촬영 당시에는 인지기능이 정상이었지만 백질고강도신호 연령이 실제 나이보다 많았던 사람만 2년 후 인지장애가 발생해, 백질고강도신호가 실제 연령대에 비해 높으면 인지장애 발생 위험이 높다는 것을 확인할 수 있었다.
![]() |
| ▲그림1. 연령별 한국 노인 백질고강도신호 확률지도 [분당서울대병원 제공] |
연구를 주도한 김기웅 교수는 “그동안 명확한 판단 기준이 없어 추가적인 진단이나 치료가 필요한 대뇌백질고강도 신호를 판독하기 어려웠지만, 이번 연구를 통해 판독 수준을 끌어올려 국내 노인들의 뇌건강을 개선할 수 있을 전망”이라며, “임상에서 건강한 노인의 백질고강도 신호 확률을 넘어서는 수준의 백질고강도신호가 관찰될 경우, 백질고강도신호를 증가시키는 원인에 대한 진단과 치료, 그리고 인지기능에 대한 주기적 모니터링과 적극적인 인지강화 활동이 필요하다”고 말했다.
한편 이번 연구결과는 신경과학 전문지인 ‘뉴로이미지:임상’(Neuroimage:Clinical) 저널에 등재됐다. [로컬세계 조원익 기자]
![]() |
| ▲ 그림2. 왼쪽부터 백질고강도신호연령이 실제 나이와 동일한 normal 1명, 나이에 비해 적은 younger 1명, 나이보다 많은 older 1명, 총 3명의 백질고강도신호를 확률지도에 겹쳐서 표기한 그림. 밝은 회색은 정상 노인의 확률지도, 초록색은 확률지도 범위 내의 백질고강도신호, 붉은 부분은 확률지도를 넘는 범위의 신호이다. [분당서울대병원 제공] |
[저작권자ⓒ 로컬(LOCAL)세계. 무단전재-재배포 금지]
































